Endokrinológia
Fogászat
Bőrgyógyászat
Allergológia
Kardiológia
Reumatológia
Radiológia
Laboratóriumi vizsgálatok
Neurológia
Dietetika
Mammogáfia
Emlő ultrahang
Hasi ultrahang
Pajzsmirigy ultrahang
Radiológia
A röntgenvizsgálat napjaink rutinszerűen alkalmazott képalkotó eljárása. Azon az elven alapul, hogy a különféle szervek és szövetek a röntgensugarat különböző mértékben nyelik el, így a rajtuk áthaladó sugárnyaláb a test mögé helyezett röntgenfilmen (napjainkban a filmeket és előhívást helyettesítő (detektorokon) eltérő feketedést, árnyéktöbbletet, illetve árnyék-kiesést hoznak létre.
A felvételek többsége nem igényel előkészületet, csak a vizsgálandó testtáj szabaddá tételét, illetve mozdulatlanságot (a mozgás a képminőséget rontja).
A röntgenfelvétel készítésének egyetlen általános ellenjavallata a terhesség fennállása, mert az első három hónapban a magzat nagyon érzékeny a reá káros röntgensugarakra. Ezért kérjük, feltétlenül jelezze, ha a terhesség gyanúja fennáll!
Leggyakrabban készített felvételek
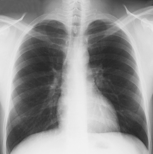
Mellkasfelvétel: általános, illetve munka alkalmassági kivizsgálás részeként, kardiológiai panaszok esetén, egyéb mellkasi panaszok hátterében lévő eltérések diagnosztizálásához, tumoros megbetegedések mellkasi áttétének kizárására használjuk.
Orrmelléküreg felvétel: láthatóvá válik az orrdugulást okozó, arcüregekben elhelyezkedő folyadék, krónikus gyulladás esetén az orrmelléküregeket bélelő nyálkahártya megvastagodása.
Csontokról és ízületekről készült felvételek: intézetünkben elsősorban ortopédus, illetve reumatológus kérésére tartós panaszok esetén készítjük e felvételeket (szükség szerint, sérülés esetén törések kizárására).
Ezen felvételeken (kéz, láb csontjai, csukló, könyök, medence, térd, boka) láthatóvá válnak a kopásos ízületi eltérések, melyek az ízületi rés beszűkülésével, a csontok széli részein képződött csontelváltozásokkal járnak.
Gyulladásos ízületi betegségekben a jelen lévő folyadék miatt a felvételen az ízületi rés kiszélesedhet, a csontok végén kimaródások jelenhetnek meg.
Gerincfelvételek (nyaki, háti, ágyéki gerincszakasz):
Gyermekeknél a veleszületett gerinc deformitások diagnosztizálásához, álló helyzetben készítjük. Információt kapunk a gerinc oldalirányú, illetve nyílirányú görbületeinek mértékéről, az esetleges egyéb fejlődési eltérésekről (pl. spina bifida).
A felállított pontos diagnózis alapján, az időben elkezdett gyógytornával, illetve gyógyúszással sok későbbi gerincpanasz megelőzhető.
Felnőtteknél, időskorú pácienseknél elsősorban a szerzett degeneratív eltérések diagnosztizálásához nélkülözhetetlenek. Felvilágosítást nyerünk a gerinc kóros görbületeiről, a csigolyatestek magasságáról, a köztük lévő porckorongok kopásáról, a gerincet érintő egyéb degeneratív elváltozásokról (pl.: spondylosis, kisízületi arthrosis). Csontritkulás esetén a csigolyákat érintő összeroppanás (compressio), a gerinc gyulladásos és daganatos elváltozásai is kimutathatók.











